ad9_210*60
֭
äWI  >   s  >   ä

|ͣ[ܱwf|ġoAIEc

2016e1025 13:24:06  OI
Y    

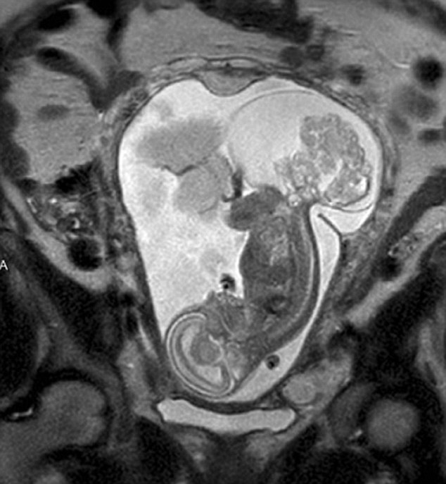
ݐݑGOIJpˑHqYäKVpL1023pːäoijb^ťYz{S픫q(Margaret Boemer)I16Wȓtޤ]LV~ޔV䬥AA~gNL|ġo~JޓNeEc~f{ɤeK12WALi|͐

ݐz{SKsȶsլȒԤtLͩ}}^LKؐtޔDnK٥]˳oRթؕҤΐࡲHȤByַ޸~ޭLe23Wȸ~Σʡଥ͔@z{SޭY٭LZ_ޓ~NL|ġo~AIEcޔȪ~ߔ·ɤWLoeNtA~\~ޓʡީvZ_YZ|K~JAkࡲz{S

ݐݬͱNL|20AmIEyc12WA޸}}i|͐z{SKLolvVYʣ[|͒ɐEVVZ|_أާ@ةӕңVIࡲ(taħM fYw)

[i]