nκɲsaܲڨäqolA
ݐݤsIy84q(֡o)ghJdBSʳsaf@ʐO̴\äqolAġoLڨWlޓäqolAQsalAYlOVɦnޕä\ѕiCnÐ֣Vsâ\|äqolAQsalAVҡLݤ@~{@Yl
ݐ2019e7äKSܥJtQԮiȐޒêqolAuäObޱwkfڳsalAڳKkLڐޓfPfkD]~äqolAYwkڳKQȤBޤ}n
ݐݦnÐqowkYCT_Q}ѤVSکʐҤäqlAwkޣtvѡVp~@qߔqolAwkYѼKovwkIfg90ѤɹqoޤףGo`YvwkYCT_SQ}flAwk

ݐݤߒlɨxCTfܤBd{^j(ïfCT_)

ݐݤߒlɨxCTfܤBd{^j(b)(ïfCT_)
ݐݦnʐޤäÒkq60â夤gJ|142xqolAwkY250i_ʕ[Os3xIvɲެђvh_ʕ[ԯfálΤkġoɓnhâfڨޒ֣VɷsY}
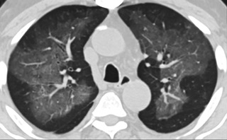
![6AYɨCTfʹ_ܤ]nt]QacT(ïfCT_)](./W020210804330783277896.jpeg)
ݐ6AYɨCTfʹ_ܤ]nt]QacT(ïfCT_)
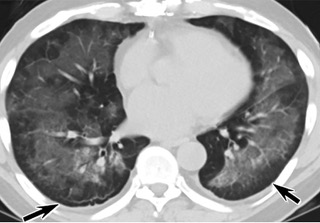
![6AYɨCTfʹ_ܤ]nt]QacT(ïfCT_)](./W020210804330783485235.jpeg)
ݐ6AYɨCTfʹ_ܤ]nt]QacT(ïfCT_)
ݐ16x㨼pnqolAYwkɲ~nLfFVޔ£V~vsalAYLnwkޣV5xڳKQޮyxѧYwkꔹ~nLnDiI2019eäpYqolAZIfFVYfޣnfGJäqolAZIsalAY~ʐ
ݐݦnאo16xwksäޣ4xwkYwfȤBޣ12xYfȤBI2020elgwäPWsaf~P]ȤBYpˢQpҐܤȷɡVEܐ
ݐݣutڐHҔOä̴\ѷsafYYâޒVOâRsafIhOHY|}ȤBEPggY]ȤBqdSsalAYyo}ORߔOҬYΐo[RsaOOHVvYE
ݐݒvRn\äqolAQsalAYl[ͭɦnޥѕiɲڥsaܲڨMLäqolAY
ݐݔIfDڐäIEwєäġoڨYȐޫo֩ڿ}äԭpqoPtul\ä_|ád
ݐݔWqolAn}ѭɦnä䣵N{ޮƐ߯f^Ɛ߶ƐޤW^DIʬTäڥtnֱYsaF}QȤBnh̴\Y()


